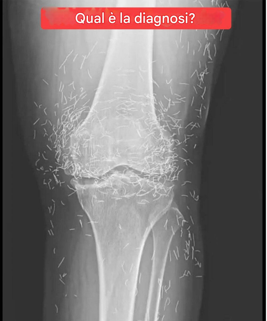
Una radiografia rivela centinaia di aghi d’oro nelle ginocchia di una donna
Mentre i medici esaminavano una radiografia delle ginocchia di un’anziana donna con forti dolori articolari, hanno trovato una miniera d’oro: centinaia di minuscoli aghi d’oro per agopuntura rimasti nei suoi tessuti.
Alla donna sudcoreana di 65 anni era stata precedentemente diagnosticata l’osteoartrite, una patologia in cui la cartilagine e le ossa delle articolazioni si degradano, causando dolore e rigidità. Tuttavia, quando antidolorifici e farmaci antinfiammatori non hanno alleviato il dolore alle ginocchia, causandole solo fastidio allo stomaco, si è rivolta all’agopuntura, hanno scritto i medici la scorsa settimana sul New England Journal of Medicine.
L’agopuntura è una pratica medica alternativa che utilizza aghi per stimolare presumibilmente determinati punti del corpo, per alleviare il dolore o per curare diverse patologie.
Nel trattamento di agopuntura della donna, gli aghi, presumibilmente d’oro, sono stati lasciati intenzionalmente nei suoi tessuti per una stimolazione continua, afferma il rapporto.
Tuttavia, lasciare gli aghi, o qualsiasi altro oggetto, nel corpo potrebbe non essere una buona idea, secondo il Dott. Ali Guermazi, professore di radiologia alla Boston University, estraneo al caso. Corpi estranei lasciati all’interno del corpo possono causare infiammazioni, ascessi e infezioni.
Potrebbero anche rendere difficile la lettura di una radiografia da parte di un medico. “Gli aghi potrebbero oscurare parte dell’anatomia”, ha affermato Guermazi.

“Il corpo umano vuole liberarsi del corpo estraneo”, ha detto Guermazi. “Inizia con un meccanismo di difesa, ad esempio l’infiammazione e la formazione di tessuto fibroso attorno all’oggetto”.
Anche gli aghi lasciati nel corpo possono causare altre difficoltà. “Il paziente non può sottoporsi a una risonanza magnetica perché gli aghi rimasti nel corpo potrebbero muoversi e danneggiare un’arteria”, ha detto Guermazi.
